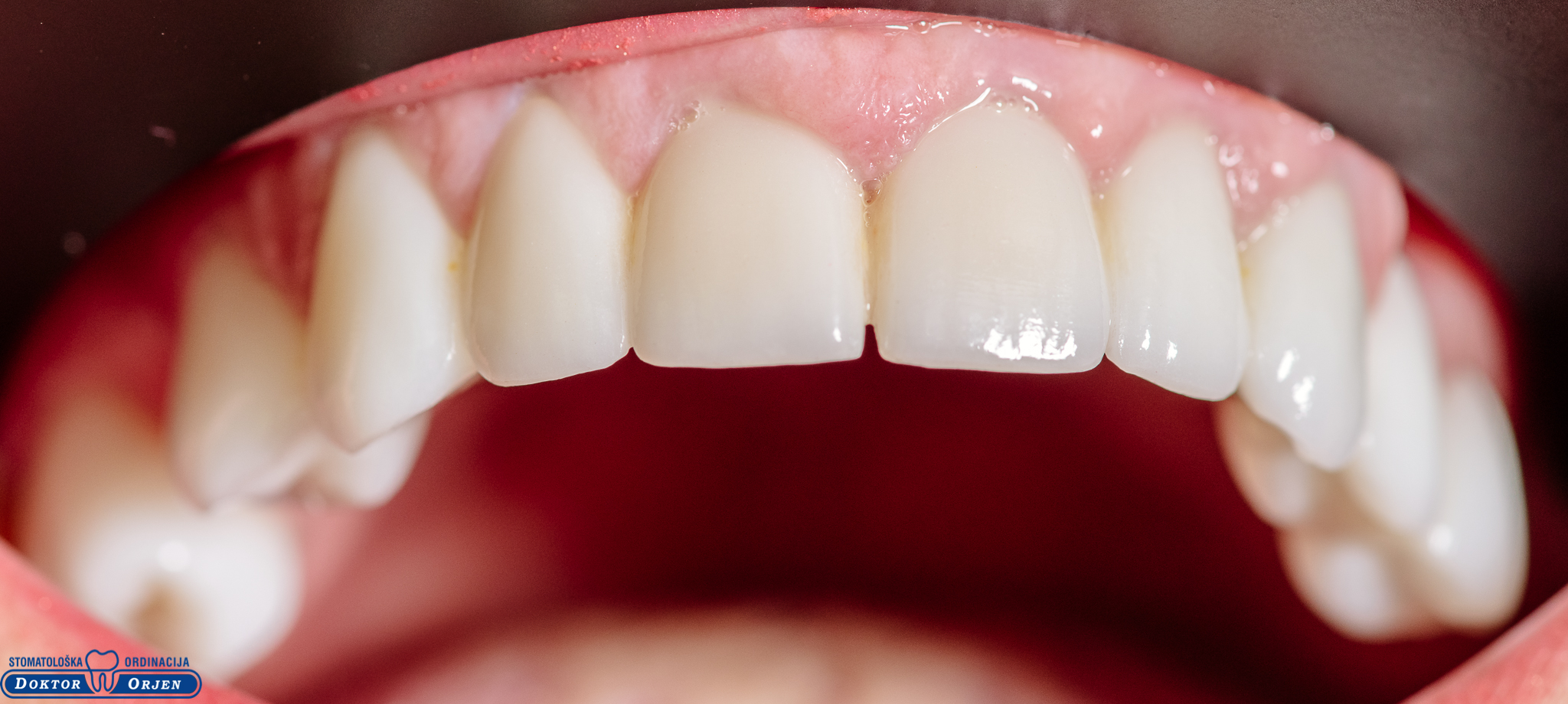
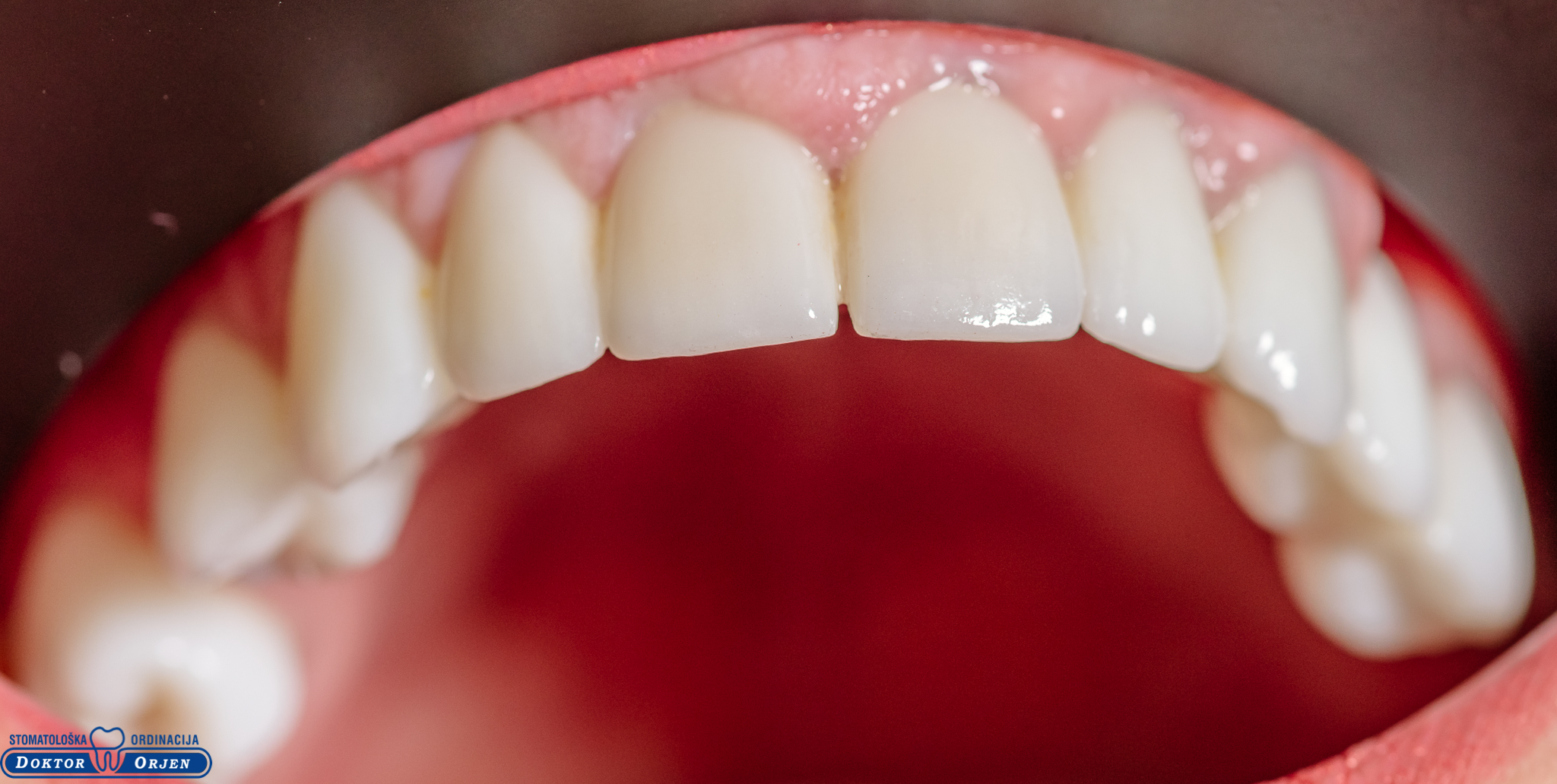
Cirkonijum-bezmetalna keramika Početna / Cirkonijum-bezmetalna keramika Cirkonijum-bezmetalna keramika 30 маја, 2018Orjen HodzicRadovi pre i posle Objavio :: Orjen Hodzic Related Posts Potpuna ptotetska i oralno-hirurska rehabilitacija pacijenta 29 септембра, 2018 Orjen Hodzic Potpuna protetska i oralnohirurska rehabilitacija pacijenta-Cirkonijum Cad/Cam krune 5 септембра, 2018 Orjen Hodzic Cirkonijum ZirkonZahn bezmetalne krune 28 маја, 2018 Orjen Hodzic Nakon 30 g nov osmeh 28 маја, 2018 Orjen Hodzic Cirkonijum krune ZirkonZahn prettau 20 маја, 2018 Orjen Hodzic Cirkonijum krune-ZirkonZahn prettau PRE i POSLE 19 маја, 2018 Orjen Hodzic Kompletna protetska rehabilitacija PRE i POSLE Cirkonijum krunama 17 маја, 2018 Orjen Hodzic Cirkonijum krune PRE i POSLE 13 маја, 2018 Orjen Hodzic